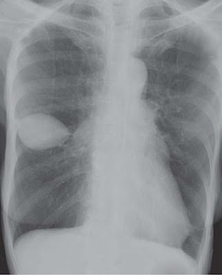
Description: Chest X-ray shows an oval soft tissue density which overlays over most of the minor fissure. It is well-defined, no calcification seen and the surrounding lung is clear.
Diagnosed as Pseudotumor.
Comments And Explanation: Loculation within the fissure gives appearance of a tumor and is referred as pseudotumor. The pulmonary pseudotumor is sharply marginated collection of pleural fluid contained either within an interlobar pulmonary fissure or in a subpleural location adjacent to a fissure. Pseudotumors are identified on chest X-rays on their lenticular pattern.
CT chest confirms a loculated effusion within the fissure with Hounsfield value that of a transudate. The pseudotumor resolves with conservative management.
Most occur in the minor (horizontal) fissure and are seen on both the frontal and lateral radiograph; those that occur in the oblique or major fissure may only be seen on the lateral view. Pseudotumors may be erroneously diagnosed as parenchymal lung nodules or masses.
Clinical Discussion: Pseudotumor or vanishing tumor of the lung is an appropriate designation for a
localized transudative interlobar pleural fluid collection. It derives its name from its frequent resemblance to a tumor on X-ray chest and from its tendency to vanish following appropriate management.
Encapsulation is due to adhesions between contiguous pleural surfaces. Therefore, it is often seen after episodes of pleuritis. The pleural encapsulation can be mistaken for pulmonary consolidation, collapse, or a mediastinal tumor. The borders of a loculated effusion are convex unlike pulmonary collapse or consolidation. There may be pleural thickening elsewhere in the thorax. It is most commonly seen in the minor fissure.
The possibility of a vanishing lung tumor should be considered and excluded in any patient presenting with congestive heart failure or apparent lung mass on a chest X-ray.

I'm short of words to express the goodness of God in my life. I was diagnosed of herpes simplex virus 4 years ago. Which was the worst time in my life. I became worried,distress,felt so rejected,dirty and pity by so many,friends,family and most all my lovely girlfriends. I started keeping in touch with many hospitals,tried many solutions,and consulted many medical practitioners to get ride of my HSV virus,none of the ativiral treatment could cure me .I started trying fruits and herbs, and with time became very interested in herbs for solutions,to get ride of my HSV. I thought my life was gonna end there, i became worried and couldn't sleep at night. On faithful Sunday morning,when the appointed time came for my breakthrough, my lovely girlfriend, crystal who visited me home came up with a good news with her HSV test result negative. I was shocked,but so happy to have seen that. I wouldn't believe if I haven't seen the result and that would have being my worst mistake in life. She told me it was the work of an herbalist in Africa,Dr.Elabe. who prepared the HSV cured and sent it to her through the DHL. I became very interest and went online to search for natural ways for my cure then I saw a testimony of a lady comments on how she was cured from cancer by the same herbalist, then,I quickly email him@
ReplyDeleteDominicelabeherbalhome4all@gmail.com.
its med.are very active with immune booster with no site effect.contact him for the solution to all your sickness. He cures all viruses and diseases
Dominicelabeherbalhome4all@gmail.com
Is a God sent in my life.
Actually, the two terms mean essentially the same thing. Both types of coverage are designed to reduce your premiums and protect against larger claims, as opposed to small office visit expenses. how to get an itemized medical bill
ReplyDeletehealthcare IT solutions are providing new hopes in bringing about improvement in the quality of healthcare service, thereby ensuring patient safety and life security. marco's pizza diabetes
ReplyDelete