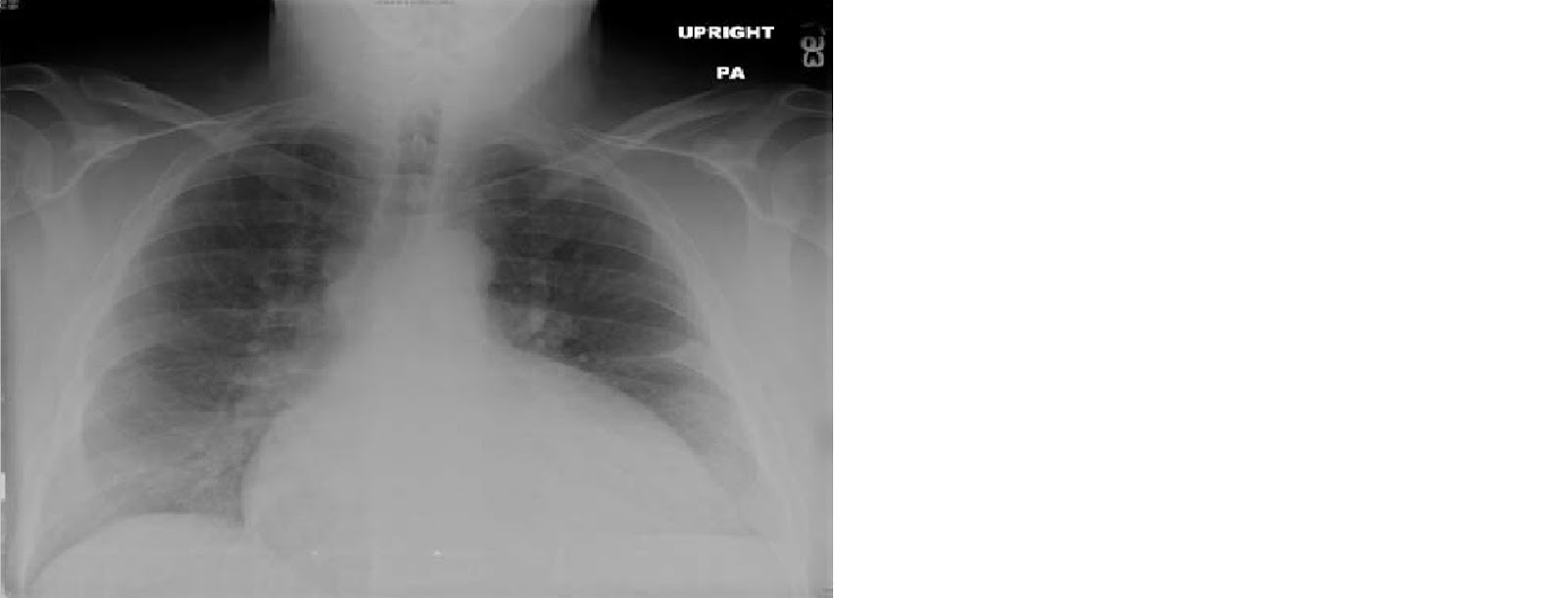
A 74-year-old man who is a chronic smoker presents with fatigue and shortness of breath. He has not seen a physician for many years and says he has been basically healthy.
On physical examination, he is found to be pale, mildly cachectic, and his lips are cyanotic.
His breath sounds are distant, although crackles can be heard in both lung bases. His heart sounds are best heard in the epigastrium; and a third heart sound is present. He has mild peripheral edema.
His resting pulse oximetry is 74%.
The chest X-ray (CXR) shows emphysema and his echocardiogram confirms heart failure.
The X Ray is shown below:
Case Discussion:
Emphysema:
Study and Memorize Medical Conditions With The Help Of Photos. Useful Site For Medical Students, Doctors And Nurses.
Friday, December 11, 2015
Saturday, September 26, 2015
A 55 Year Old Diabetic Woman Presents With Malignant Otitis Externa
A 55 year-old woman with type 2 diabetes presents to her family physician with a 2-day history of bilateral ear pain and discharge as well as some hearing loss. Symptoms started in the right ear and then rapidly spread to the left ear. She had a low-grade fever and felt ill.
On examination the external ear was swollen with honey-crusts. The external auditory canal (EAC) was narrowed and contained purulent discharge Ear, nose, and throat (ENT) was consulted and she was admitted to the hospital for the presumptive diagnosis of malignant otitis externa. She was started on IV ciprofloxacin and the ear culture grew out Pseudomonas aeruginosa sensitive to ciprofloxacin. The patient responded well to treatment and was able to go home on oral ciprofloxacin 5 days later.
Case Discussion:
Otitis Externa:
Otitis externa (OE) is a common condition and is defined as inflammation, often with infection, of the external auditary canal.
It occurs more commonly in adults than in children.
On examination the external ear was swollen with honey-crusts. The external auditory canal (EAC) was narrowed and contained purulent discharge Ear, nose, and throat (ENT) was consulted and she was admitted to the hospital for the presumptive diagnosis of malignant otitis externa. She was started on IV ciprofloxacin and the ear culture grew out Pseudomonas aeruginosa sensitive to ciprofloxacin. The patient responded well to treatment and was able to go home on oral ciprofloxacin 5 days later.
Case Discussion:
Otitis Externa:
Otitis externa (OE) is a common condition and is defined as inflammation, often with infection, of the external auditary canal.
It occurs more commonly in adults than in children.
Friday, September 25, 2015
Head Lice Infestation In Children
A mother brings her two children, ages 7 and 4, who have been complaining of itchy scalps. So far, they have not tried any treatments.
On examination of both children, you find erythematous papules on the occiput and small white
eggs firmly attached to the hair shaft about 1 cm from the scalp.
What is the most likely cause and how to manage it?
Head Lice Infestation ( Pediculosis Capitis)
Case Discussion:
Head Lice (Pediculosis Capitis) is a common and highly contagioug infection most commonly seen in school going children , at day care and people living under crowded and low socioeconomic conditions.
Etiology: It is caused by infestation with the human head louse : Pediculus humanus capitis. .
Pathogenesis: Lice are very small insects that feed on human blood. The female louse attaches her eggs (nits) to the base of the hair near the scalp, and the nits hatch in 7 to 10 days. lice are spread from child to child by close head to head contact and by sharing hair brushes and other infested belongings.
Clinical features: It causes discomfort and itching but typically does not constitute a serious condition. A child may be irritable from itching or may not sleep properly. Excessive itching may cause scratches and secondary skin infections.
Management:
1. Using fine toothed comb to remove the lice and the nits.
2. Good hygiene and regular hair washing.
3. Treatment with topical agents such as permethrin cream for two applications is also effective.
4. It is important to disinfect the bedding and treat all close contacts at the same time
5.Children need regular and frequent inspection of the hair as they may get re infected.
On examination of both children, you find erythematous papules on the occiput and small white
eggs firmly attached to the hair shaft about 1 cm from the scalp.
What is the most likely cause and how to manage it?
Head Lice Infestation ( Pediculosis Capitis)
Case Discussion:
Head Lice (Pediculosis Capitis) is a common and highly contagioug infection most commonly seen in school going children , at day care and people living under crowded and low socioeconomic conditions.
Etiology: It is caused by infestation with the human head louse : Pediculus humanus capitis. .
Pathogenesis: Lice are very small insects that feed on human blood. The female louse attaches her eggs (nits) to the base of the hair near the scalp, and the nits hatch in 7 to 10 days. lice are spread from child to child by close head to head contact and by sharing hair brushes and other infested belongings.
Clinical features: It causes discomfort and itching but typically does not constitute a serious condition. A child may be irritable from itching or may not sleep properly. Excessive itching may cause scratches and secondary skin infections.
Management:
1. Using fine toothed comb to remove the lice and the nits.
2. Good hygiene and regular hair washing.
3. Treatment with topical agents such as permethrin cream for two applications is also effective.
4. It is important to disinfect the bedding and treat all close contacts at the same time
5.Children need regular and frequent inspection of the hair as they may get re infected.
A Young Male Presents With Multiple Moles On His Body
A young while male is seen by the dermatologist for multiple moles on his body that are progressively increasing in number , some one them have uneven color pigmentation and notched borders. The patient is concerned as few years ago his elder sister who has similar presentation was diagnosed with malignancy.
What is the most likely Diagnosis?
.
.
Dysplastic Nevi Syndrome.
What is the most likely Diagnosis?
.
.
Dysplastic Nevi Syndrome.
Saturday, September 19, 2015
A 43 Year Old Woman With Varicose Veins
A 43-year-old woman presents to her physician’s office with complaints of heaviness and fatigue in her legs. She does not experience the symptoms in the morning but they become more noticeable as the day progresses and with prolonged standing. When she stands for many hours, she develops swelling in both of her legs. The symptoms are concentrated over her medial calf where she has
prominent tortuous veins. She first noted the veins approximately 15 years ago when she was pregnant. Initially, they did not cause her any discomfort but have progressively enlarged now and over the past 10 years have become increasingly painful. She recalls that her mother had similar veins in her legs.
This patient was diagnosed with varicose veins or Venous insufficiency.
Case Discussion
Varicose veins: Also known as Venous insufficiency is a condition that is caused by improperly functioning valves in the venous system and is most commonly seen in the legs causing abnormally thick, enlarged and twisted, engorged veins. This may lead to skin changes and even ulceration in advanced cases.
prominent tortuous veins. She first noted the veins approximately 15 years ago when she was pregnant. Initially, they did not cause her any discomfort but have progressively enlarged now and over the past 10 years have become increasingly painful. She recalls that her mother had similar veins in her legs.
This patient was diagnosed with varicose veins or Venous insufficiency.
Case Discussion
Varicose veins: Also known as Venous insufficiency is a condition that is caused by improperly functioning valves in the venous system and is most commonly seen in the legs causing abnormally thick, enlarged and twisted, engorged veins. This may lead to skin changes and even ulceration in advanced cases.
Friday, September 18, 2015
A 70 year Old Man With Hyperkalemia Secondary To Medication Side Effect
A 70 year old man with congestive cardiac failure and taking angiotensin converting enzyme inhibitor, spironolactone , digoxin and furosemide comes to the emergency department complaining of nausea and palpitations. He also mentions having not passed urine for last 24 hours. On admission an ECG was done which is shown below:
Note the tall peaked T waves.
What investigation should be performed next?
Answer: Serum potassium
Tall tented T-waves is an ECG feature of hyperkalaemia. In this case, the cause of hyperkalaemia is a combination of potassium-sparing drugs and obstructive uropathy.
Case Discussion:
Note the tall peaked T waves.
What investigation should be performed next?
Answer: Serum potassium
Tall tented T-waves is an ECG feature of hyperkalaemia. In this case, the cause of hyperkalaemia is a combination of potassium-sparing drugs and obstructive uropathy.
Case Discussion:
Thursday, September 17, 2015
A 5 Year Old Child With Anal Itching
A mother brings in her 5 year-old boy who has been suffering with anal itching.
On examination the physician finds several excoriations around the anus and suspects pin worms. The physician then applies scotch tape to the perianal area and places the tape on a glass slide. Review of the slide demonstrates adult worms and ova of Enterobius vermicularis (pinworms)
A magnified view of enterobius vermicularis worm (Pin worm)
The boy is treated with a single dose of chewable mebendazole and his symptoms resolove. His mother is advised to give the child mebendazole dose again in 2 weeks to increase the long-term
cure rate.
If the scotch tape test were negative, the physician could choose to treat empirically as mebendazole is a very safe medication. Another option is to test again having the parent apply the scotch tape to the boy’s perianal area first thing in the morning and bring that back to the office (the yield is higher in the morning).
Case Discussion:
On examination the physician finds several excoriations around the anus and suspects pin worms. The physician then applies scotch tape to the perianal area and places the tape on a glass slide. Review of the slide demonstrates adult worms and ova of Enterobius vermicularis (pinworms)
The boy is treated with a single dose of chewable mebendazole and his symptoms resolove. His mother is advised to give the child mebendazole dose again in 2 weeks to increase the long-term
cure rate.
If the scotch tape test were negative, the physician could choose to treat empirically as mebendazole is a very safe medication. Another option is to test again having the parent apply the scotch tape to the boy’s perianal area first thing in the morning and bring that back to the office (the yield is higher in the morning).
Case Discussion:
Wednesday, September 16, 2015
A 55 Year Old Man With Diabetes Was Found To Have Diabetic Retinopathy On Fundoscopy.
A 55 year old man with non insulin dependent diabetes mellitus for almost 15 years came for a followup with his family physician. His blood pressure was 148/94 mmHg. The investigations done are shown below:
- Hb 13.1 g/dl
- WCC 5 109/l
- Platelets 290 109/l
- Sodium 138 mmol/l , Potassium 4.1 mmol/l
- Urea 9 mmol/l , Creatinine 138 μmol/l
- Glucose 8 mmol/l
- Cholesterol 5.8 mmol/l , Triglycerides 3.2 mmol/l
- 12-lead ECG Normal
- 24-hour urine protein 1g
On Fundoscopy there was background retinopathy and the picture is shown below:
Case Discussion:
Diabetic Retinopathy:
Diabetic retinopathy, which is also known as diabetic eye disease is a condition in which the small blood vessels in the retina are affected as a complication of diabetes. The blood vessels in the retina may become leaked , get blocked and eventually affect the sight and may even lead to blindness.
Tuesday, September 15, 2015
A 63 Year Old Man Presents With Symptoms Of Stroke
A 63 year-old hypertensive man is brought to the emergency department with onset of right face, arm, and hand paralysis, as well as difficulty in communication. Rapid diagnostic testing using MRI revealed an ischemic infarct in the left middle cerebral artery.
The patient was diagnosed as a case of stroke. He was immediately given tissue plasminogen activator (TPA). After the stroke, he was treated with aspirin, antihypertensives, and cholesterol-lowering medication. He recovered 80% of his neurologic deficit over the next 3 months.
Case Discussion:
Stroke Or Cerebral Vascular Accidents:
Cerebral vascular accidents or strokes are common, especially in older populations. Most strokes are ischemic (66%) or hemorrhagic(10%).
Risk factors include :
The patient was diagnosed as a case of stroke. He was immediately given tissue plasminogen activator (TPA). After the stroke, he was treated with aspirin, antihypertensives, and cholesterol-lowering medication. He recovered 80% of his neurologic deficit over the next 3 months.
Case Discussion:
Stroke Or Cerebral Vascular Accidents:
Cerebral vascular accidents or strokes are common, especially in older populations. Most strokes are ischemic (66%) or hemorrhagic(10%).
Risk factors include :
- hypertension,
- smoking,
- diabetes mellitus,
- atrial fibrillation.
- Obesity
- Black ethnicity.
- Older age
Pathophysiology:
1. Ischemic stroke occur when atherosclerosis progresses to a plaque,which ruptures acutely. Each step of this process is mediated by inflammation.
Wednesday, September 9, 2015
A 65 Year Old Man Presents With Cough And Hemoptysis
A 65 year old man presents with a severe dry cough accompanied by rusty blood streaked sputum, that started 2 days ago. He had a past history of tuberculosis and he is a chronic smoker. He denies having any fever. His chest X ray is shown below;
The x ray shows a classic finding of a fungus ball ( upper right ) in an old tuberculosis cavity. This finding is typical of an Aspergilloma.
Case Discussion:
Aspergilloma is due to colonization by the species Aspergillus fumigatus rather than direct tissue invasion, and is usually not an indicator of an immuno - compromised state. It arises most commonly in old tuberculous cavities but may occur in cavities created by neoplasms, sarcoidosis and other fungal infections such as histoplasmosis.
The aspergilloma comprises fungal hyphae, inflammatory cells and fibrin.
Clinically, patients may be asymptomatic but the vast majority experience haemoptysis. Some patients complain of chest pain, wheeze and a fever.
The diagnosis is made with radiological tests. The chest X-ray is usually diagnostic but confirmation of the aspergilloma may require a CT scan or MRI scan of the thorax. The identification of Aspergillus in the sputum in such patients is highly suggestive of the diagnosis.
Treatment: Patients with recurrent haemoptysis are treated with surgical resection of the cavity and removal of the aspergilloma.
List the causes for Cavitating Lung lesions:
The x ray shows a classic finding of a fungus ball ( upper right ) in an old tuberculosis cavity. This finding is typical of an Aspergilloma.
Case Discussion:
Aspergilloma is due to colonization by the species Aspergillus fumigatus rather than direct tissue invasion, and is usually not an indicator of an immuno - compromised state. It arises most commonly in old tuberculous cavities but may occur in cavities created by neoplasms, sarcoidosis and other fungal infections such as histoplasmosis.
The aspergilloma comprises fungal hyphae, inflammatory cells and fibrin.
Clinically, patients may be asymptomatic but the vast majority experience haemoptysis. Some patients complain of chest pain, wheeze and a fever.
The diagnosis is made with radiological tests. The chest X-ray is usually diagnostic but confirmation of the aspergilloma may require a CT scan or MRI scan of the thorax. The identification of Aspergillus in the sputum in such patients is highly suggestive of the diagnosis.
Treatment: Patients with recurrent haemoptysis are treated with surgical resection of the cavity and removal of the aspergilloma.
List the causes for Cavitating Lung lesions:
Tuesday, September 8, 2015
A Pregnant Woman Presents With Persistent Itching At 31 Weeks Of Gestation
A 32-year-old G3P2 woman presents with persistent itching in her 31st week of pregnancy. The itching is constant and worse at night. Her pregnancy had been uncomplicated and she has no past history of medical problems. Many excoriations are noted and there are no blister.
She has no jaundice or scleral icterus. On laboratory workup her transaminases were greater than 300 and her total bilirubin was elevated at 2.1. Her bile salts were elevated and her hepatitis panel was negative. The ultrasound showed gallstones but no obstruction was seen.
A diagnosis of “intrahepatic cholestasis of pregnancy” was made and the patient was treated with oral ursodiol (a bile salt binding agent) and topical 1% hydrocortisone cream. The bile salts and transaminases were decreased and the patient’s pruritus improved but did not resolve until after delivery.
Case Discussion
Common Skin Findings In Pregnancy:
Maternal skin and skin structures undergo numerous changes during pregnancy. There are two general categories of pregnancy-associated skin conditions:
(a) benign skin conditions associated with normal hormonal changes of pregnancy
She has no jaundice or scleral icterus. On laboratory workup her transaminases were greater than 300 and her total bilirubin was elevated at 2.1. Her bile salts were elevated and her hepatitis panel was negative. The ultrasound showed gallstones but no obstruction was seen.
A diagnosis of “intrahepatic cholestasis of pregnancy” was made and the patient was treated with oral ursodiol (a bile salt binding agent) and topical 1% hydrocortisone cream. The bile salts and transaminases were decreased and the patient’s pruritus improved but did not resolve until after delivery.
Case Discussion
Common Skin Findings In Pregnancy:
Maternal skin and skin structures undergo numerous changes during pregnancy. There are two general categories of pregnancy-associated skin conditions:
(a) benign skin conditions associated with normal hormonal changes of pregnancy
- Striae gravidarum, Or Stretch Marks
- hyperpigmentation,
- hair and vascular changes
Monday, September 7, 2015
A 30 Year Old Woman Presents With Increasing Shortness Of Breath
A 30-year-old woman presented to her family physician with increasing shortness of breath over the past 2 weeks. Prior to this, she had a flu-like illness and felt like she never recovered. She denied chest pain and edema, did not take any medications, and had not had any recent trauma or surgery. She had a normal examination. Her chest radiograph showed a classic globular heart as demonstrated in the picture above. She had nonspecific ST changes on her ECG. An echocardiogram
confirmed pericardial effusion. The underlying etiology was not elucidated and she recovered spontaneously over the next several months.
Case Discussion
Pericardial Effusion:
Pericardial effusions are commonly found in the general population and the incidence increases with age.
Causes: It can be caused by :
confirmed pericardial effusion. The underlying etiology was not elucidated and she recovered spontaneously over the next several months.
Case Discussion
Pericardial Effusion:
Pericardial effusions are commonly found in the general population and the incidence increases with age.
Causes: It can be caused by :
- cardiac disease or surgery,
- connective tissue disorders,
- neoplasms,
- infections,
- renal disease,
- hypothyroidism, or
- medications;
Saturday, September 5, 2015
A 50 Year Old Man Presents With A Growth In His Eye
A 50 year old man presents to his general physician as he is concerned about something growing in his eye and wonders if it is something serious and needed to be removed. He denies any problem with his vision but he has noticed his eyes often to be dry and irritated. He has spent most of his life working outdoors, with exposure to environmental pollutants. .
The picture and the lesion in his eye is shown below:
What is the diagnosis:?
.
Pterygium.
Case Discussion:
A pterygium is a generally benign growth of fibroblastic tissue on the eye of an adult with chronic UV exposure. Pterygia can be unilateral or bilateral, are usually located on the nasal side, and extend to the cornea. Pterygia often require no treatment, but can be removed surgically if they interfere with vision. Patients with dry eyes are prone to the development and progression of pterygia.
Thursday, September 3, 2015
A Neonate With A Skin Rash
A 2 day old baby boy is brought for evaluation of a skin rash.
The baby was born at full term to a mother with no antenatal care. While giving the history she mentions having infected with syphillis but is not certain about the treatment and never had a followup for her disease. The baby was suspected to be infected with congenital syphillis and VDRL titers were done which were high, and exceeding those of the mother. This confirmed the diagnosis.
Case Discussion:
Congenital Syphillis:
Congenital syphillis is a serious and often life threatening or life disabling condition that occurs when a child is born to a mother infected with syphilis.
Etiology: The causative bacteria treponema pallidium is transmitted from the mother to the baby during pregnancy or at child birth.
The baby was born at full term to a mother with no antenatal care. While giving the history she mentions having infected with syphillis but is not certain about the treatment and never had a followup for her disease. The baby was suspected to be infected with congenital syphillis and VDRL titers were done which were high, and exceeding those of the mother. This confirmed the diagnosis.
Case Discussion:
Congenital Syphillis:
Congenital syphillis is a serious and often life threatening or life disabling condition that occurs when a child is born to a mother infected with syphilis.
Etiology: The causative bacteria treponema pallidium is transmitted from the mother to the baby during pregnancy or at child birth.
Wednesday, September 2, 2015
A Middle Aged Man Presents With Flaccid Blisters Containing Serous Fluid
A middle aged man is seen in the dermatology clinic for blisters appearing on his skin and mucus membranes all over his body. He says he first noticed the blister to appear in his mouth, later it spread out to involve the skin and all the body. Some of these blister have ruptured with oozing of clear fluid, and leaving red erosions which are very painful
A picture of his lesions is shown below:
.
A picture of his lesions is shown below:
.
The clinical history suggested a diagnosis of Pemphigus Vulgaris which was confirmed by histological examination (skin biopsy)
Tuesday, September 1, 2015
A Case Of Purpura
A patient is seen with a rash of purplish spots caused by internal bleeding from small blood vessels.
The condition is known as purpura which can be caused by a number of different cause.
Approach to A Patient With Purpura:
Purpura is defined as purple colored spots and patches that may occur on the skin and the mucous membranes and caused by blood leaking from the small blood vessels under the skin.
When the purpura spots are less than 3 mm in diameter , they are called petechiae.
When these spots are larger than 1 cm in diameter it is called ecchymoses
The condition is known as purpura which can be caused by a number of different cause.
Approach to A Patient With Purpura:
Purpura is defined as purple colored spots and patches that may occur on the skin and the mucous membranes and caused by blood leaking from the small blood vessels under the skin.
When the purpura spots are less than 3 mm in diameter , they are called petechiae.
When these spots are larger than 1 cm in diameter it is called ecchymoses
A 60 Year Old Man With Numbness And Tingling In His Lower Extremities
A 60-year-old man comes in with a complaint of numbness and tingling in his lower extremities for about 10 months. He notes no weakness. He has had type 2 diabetes mellitus for 6 years and has a 30-pack-year smoking history.
Examination reveals decreased sensation to light touch, pin prick, and vibratory sensation in the feet extending to 7 cm below the knees symmetrically. You also notice lack of hair on his leg to the same level. Chest, abdomen, and upper extremities have normal sensation. His reflexes are 1+ in the upper extremities and quadriceps with absent Achilles bilaterally. The remainder of his neurological and general medical examination is unremarkable.
What is the most probable diagnosis?
Peripheral Neuropathy secondary to diabetes.
Case Discussion:
Examination reveals decreased sensation to light touch, pin prick, and vibratory sensation in the feet extending to 7 cm below the knees symmetrically. You also notice lack of hair on his leg to the same level. Chest, abdomen, and upper extremities have normal sensation. His reflexes are 1+ in the upper extremities and quadriceps with absent Achilles bilaterally. The remainder of his neurological and general medical examination is unremarkable.
What is the most probable diagnosis?
Peripheral Neuropathy secondary to diabetes.
Case Discussion:
A 45 Year Old Diabetic Man Presents With Leg Swelling
A 45 year-old obese male with poorly controlled diabetes mellitus and hyperlipidemia presents to clinic complaining that his left leg is red. He denies constitutional symptoms or pain. His vital signs are within normal limits. He has a warm leg with circumferential erythema extending from the ankle to the mid-calf. He has 2+ pitting edema bilaterally There are no open sores.
His complete blood count with differential is within normal limits. Doppler studies fail to reveal venous thromboses. Patient was prescribed 7 days of oral antibiotics and sent home. The patient returns after 3 days with no improvement in his symptoms.
What is the diagnosis and why did he not respond to antibiotic treatment?
His complete blood count with differential is within normal limits. Doppler studies fail to reveal venous thromboses. Patient was prescribed 7 days of oral antibiotics and sent home. The patient returns after 3 days with no improvement in his symptoms.
What is the diagnosis and why did he not respond to antibiotic treatment?
Monday, August 31, 2015
A 42 Year Old Man With Neurological Weakness In His Legs
A 42-year-old man required ventilation for a prolonged period during an episode of septicaemia. Following this he developed difficulty with walking and required the aid of an assistant to mobilize. On neurological examination there was weakness on dorsiflexion of the toes, as well as
ankle eversion. The patient also had reduced sensation, affecting the anterior lateral aspects below the knee and the dorsum of the foot.
What is the Diagnosis?
.
.
Common peroneal nerve palsy.
Case Discussion:
Weakness of dorsiflexion and eversion of the foot and reduced sensation over the antero-lateral aspects of the lower leg and dorsum of the foot are typical features of common peroneal nerve palsy. The common peronealnerve crosses over the fibula, where it may become damaged owing to acute or chronic compression.
ankle eversion. The patient also had reduced sensation, affecting the anterior lateral aspects below the knee and the dorsum of the foot.
What is the Diagnosis?
.
.
Common peroneal nerve palsy.
Case Discussion:
Weakness of dorsiflexion and eversion of the foot and reduced sensation over the antero-lateral aspects of the lower leg and dorsum of the foot are typical features of common peroneal nerve palsy. The common peronealnerve crosses over the fibula, where it may become damaged owing to acute or chronic compression.
Friday, August 28, 2015
A 50 Year Old Woman Presents With Long Standing Bone Pains.
A 50 year old woman who had a history of long standing body pains and aches , was found to have hypercalcemia on her blood reports. On further workup she also had high levels of parthyroid hormone. On further questioning she mentions that she frequently gets a stomach upset, with abdominal pain and constipation. She feels lethargic and has a feeling of lack of energy for a long time.
This patient was diagnosed to have Hypercalcemia secondary to Hyperparathroidism .
Case Discussion;
Hypercalcemia is a condition in which the calcium levels in the blood is above normal limits. By far the most common cause of hypercalcemia is hyperparthroidism, from the over activity or adenoma of parathroid glands.
This patient was diagnosed to have Hypercalcemia secondary to Hyperparathroidism .
Case Discussion;
Hypercalcemia is a condition in which the calcium levels in the blood is above normal limits. By far the most common cause of hypercalcemia is hyperparthroidism, from the over activity or adenoma of parathroid glands.
Tuesday, August 25, 2015
A 61 Year Old Woman With Halitosis And Regurgitation Of Ingested Food.
A 61-year-old woman visits her doctor's office complaining of halitosis, regurgitation of undigested food 4 hours after eating, and heartburn. She also feels that the food is sticking in her throat. A Barium swallow done during the workup for her symptoms is shown below:
What is the most probable diagnosis?
.
.
Zenker Diverticulum
Case Discussion:
What is the most probable diagnosis?
.
.
Zenker Diverticulum
Case Discussion:
Monday, August 24, 2015
A 47 Year Old man With A Blistering Rash On His Hands, Scalp And Face
A 47-year-old businessman was referred to the dermatology clinic with a rash over his hands, scalp and face. He had been generally well. He smoked 20 cigarettes per day and drank 8–10 units of alcohol on a daily basis. There was no other significant medical history of note. The patient had not taken any medication, with the exception of occasional chlorpheniramine to help relieve his
symptoms. On examination he had vesicular lesions affecting his face, forearms, hands and scalp. All other physical examination was essentially normal.
Blisters and fragility on the back of the hands.
What is the most probable diagnosis?
Porphyria cutanea tarda
Case Discussion:
Porphyria cutanea tarda (PCT) is a rare disorder of haem synthesis that is inherited as an autosomal dominant trait. Another acquired type is also described.
Pathology: The primary cause of this disorder is a deficiency of uroporphyrinogen decarboxylase, a cytosolic enzyme that is the enzymatic pathway that leads to synthesis of heme. This enzyme catalyses the conversion of uroporphyrin to coproporphyrin. This leads to an excess of uroporphyrins in the blood and urine. The result is a
pruritic photosensitive blistering rash that affects areas exposed to sunlight, and cirrhosis of the liver. Blisters on
the skin lesion contain PAS-positive material.
symptoms. On examination he had vesicular lesions affecting his face, forearms, hands and scalp. All other physical examination was essentially normal.
Blisters and fragility on the back of the hands.
What is the most probable diagnosis?
Porphyria cutanea tarda
Case Discussion:
Porphyria cutanea tarda (PCT) is a rare disorder of haem synthesis that is inherited as an autosomal dominant trait. Another acquired type is also described.
Pathology: The primary cause of this disorder is a deficiency of uroporphyrinogen decarboxylase, a cytosolic enzyme that is the enzymatic pathway that leads to synthesis of heme. This enzyme catalyses the conversion of uroporphyrin to coproporphyrin. This leads to an excess of uroporphyrins in the blood and urine. The result is a
pruritic photosensitive blistering rash that affects areas exposed to sunlight, and cirrhosis of the liver. Blisters on
the skin lesion contain PAS-positive material.
A 4 Year Old Girl Is Admitted In Pediatric Ward With The Chief Complaint Of Generalized Body Swelling
A 4 year old girl was admitted to the pediatric ward with the chief complains of generalized body swelling. He mother gives the history that she noticed the swelling first appearing on the face about 5 days ago which then gradually progressed to involve the entire body. The patient has decreased appetite and has lost interest in playing with her toys. Mother also mentions that the patient has only passed urine once yesterday and it was very small in quantity.Urine was dark colored but she did not see any blood in urine. Before the onset of theses symptoms , the child was in good health except for a minor upper respiratory infection about a week ago. Before the illness the child was taking regular food cooked at home that included boiled eggs, vegetables and sometimes meat. She was immunized and her development was appropriate for her age.
On Examination she had a fever of 101 F. other vitals were within normal limits.
On general physical examination patient had a periorbital edema, puffy face, pedal edema and looked lethargic. There was no jaundice but she looked pale.
On abdominal examination she had ascites.
On auscultation of the chest there were some basal crepitations.
List the Differential Diagnosis of the above case:
On Examination she had a fever of 101 F. other vitals were within normal limits.
On general physical examination patient had a periorbital edema, puffy face, pedal edema and looked lethargic. There was no jaundice but she looked pale.
On abdominal examination she had ascites.
On auscultation of the chest there were some basal crepitations.
List the Differential Diagnosis of the above case:
A 2 Year Old Boy With Cafe au lait Spots
A 2 year old boy was seen by a general physician for symptoms of common cold. While doing the general physical
examination , he was seen to have a large pigmented flat patch on the right side of his abdomen. On questioning mother said it is present since birth and has increased in size with the growth of the child, it has never caused any problem and so she was not concerned.
Case Discussion:
Cafe au lait Spots: The name cafe au lait is French for "coffee with milk" and refers to their light-brown color. These are flat pigmented birth marks. The borders may be smooth or irregular.
The size and number of cafe au lait spots differ widely and depends upon the underlying cause. Some may be insignificant while others may indicate some underlying medical condition.
Café-au-lait spots are considered significant if:
Prepubertal : > 5 mm in size and 5 in number
Postpubertal : >15 mm in size and 6 in number
Isolated Café-au-lait spot >15 cm in size
Any Café-au-lait spot in the center of the body
Café-au-lait spot associated with neurofibromatosis.
Causes: may include following:
examination , he was seen to have a large pigmented flat patch on the right side of his abdomen. On questioning mother said it is present since birth and has increased in size with the growth of the child, it has never caused any problem and so she was not concerned.
Case Discussion:
Cafe au lait Spots: The name cafe au lait is French for "coffee with milk" and refers to their light-brown color. These are flat pigmented birth marks. The borders may be smooth or irregular.
The size and number of cafe au lait spots differ widely and depends upon the underlying cause. Some may be insignificant while others may indicate some underlying medical condition.
Café-au-lait spots are considered significant if:
Prepubertal : > 5 mm in size and 5 in number
Postpubertal : >15 mm in size and 6 in number
Isolated Café-au-lait spot >15 cm in size
Any Café-au-lait spot in the center of the body
Café-au-lait spot associated with neurofibromatosis.
Causes: may include following:
Friday, August 21, 2015
A 40 Year Old Man Presents With Sudden Severe Back Pain.
A 40 year old man who is otherwise healthy with no past medical problems presents to the emergency department with the complains of sudden onset of severe back pain, along with gait disturbance and feeling of pins and needle sensation in the groin area and the inner thighs. While in the emergency room he felt losing control over his bladder and had urinary incontinence.
The doctor on call suspected Cauda equina syndrome and ordered urgent MRI and referral to neurosurgery to prevent long term complications.
The typical MRI from a patient with Cauda Equina syndrome is shown below:
The arrow shows a ruptures disc in the lumbar area.
Case Discussion:
Cauda Equina Syndrome:
The doctor on call suspected Cauda equina syndrome and ordered urgent MRI and referral to neurosurgery to prevent long term complications.
The typical MRI from a patient with Cauda Equina syndrome is shown below:
The arrow shows a ruptures disc in the lumbar area.
Case Discussion:
Cauda Equina Syndrome:
Refers to a characteristic pattern of neuromuscular and
urogenital symptoms resulting from the simultaneous compression of multiple
lumbo sacral nerve roots below the level of conus medularis.
Causes: Common causes include:
Tuesday, July 21, 2015
A 40 Year Old Woman presents With Unsteady Gait And Recurrent Falls.
A 40-year-old woman presented with a five-day history of recurrent falls and an unsteady gait. She had a past history of a stroke causing a right-sided hemiparesis, which resolved spontaneously after a few days. The patient underwent intensive investigation following presentation with the stroke including carotid Doppler studies, transoesophageal echocardiography and CT scan
of the brain, which were normal.
The Ct Scan is shown below which is normal:
On examination she had a broad-based gait. There was evidence of dysdiadochokinesia in both upper limbs and abnormal heel–shin testing. The lower limb reflexes were brisk and the plantar response was extensor. The heart rate was 80 beats/min and regular. The blood pressure was 130/90 mmHg. Both heart sounds were normal.
Question :
What is the most probable diagnosis? ( Chose the one best from the options below)
a. Systemic lupus erythematosus with cerebralinvolvement.
b. Multiple sclerosis.
c. Multiple paradoxical emboli.
d. Friedreich’s ataxia.
e. Multiple cerebral metastases.
Answer:
b. Multiple sclerosis.
Explanation:
of the brain, which were normal.
The Ct Scan is shown below which is normal:
On examination she had a broad-based gait. There was evidence of dysdiadochokinesia in both upper limbs and abnormal heel–shin testing. The lower limb reflexes were brisk and the plantar response was extensor. The heart rate was 80 beats/min and regular. The blood pressure was 130/90 mmHg. Both heart sounds were normal.
Question :
What is the most probable diagnosis? ( Chose the one best from the options below)
a. Systemic lupus erythematosus with cerebralinvolvement.
b. Multiple sclerosis.
c. Multiple paradoxical emboli.
d. Friedreich’s ataxia.
e. Multiple cerebral metastases.
Answer:
b. Multiple sclerosis.
Explanation:
Monday, July 20, 2015
A 32 Year Old Man Complains of Heel Pain
A 32 year old man visits his primary care physician with the complain of pain in the heel of his foot for the last few weeks. He describes the pain has stabbing in character and usually occurs when he wakes up and takes the first steps in the morning. the pain then gradually decreases as the day goes on. Patient says he is an active man and he has been training himself in the local gym for the last few months. On examination there was tenderness on palpation of the heel and the sole of the foot. An X ray of the foot is shown below:
The arrow shows a heel spur.
The patient is most likely suffering from plantar fasciitis.
Case Discussion:
The arrow shows a heel spur.
The patient is most likely suffering from plantar fasciitis.
Case Discussion:
PLANTAR FASCIITIS
Inflammation of
plantar fascia on the planter aspect of foot.
Risk factor for
developing plantar fasciitis:
-
flat feet or high arch
-
running long distances, up or downhill or on
uneven surfaces
-
Obesity
-
Wearing shoes
with poor arch support or soft soles
Clinical
features:
- - Heel pain, usually unilateral, which is most severe during the first few steps after prolonged inactivity such as sleep or sitting
Sunday, July 19, 2015
A 25 Year Old Female Presents With Chest Pain On Deep Breathing And Coughing
A 25 year old female comes to her primary care physician because she has been unwell for the past few days with fever, cough and difficulty breathing. She complains of having a sharp localized chest pain when she takes a deep breath or coughs. On Examination she had a fever of 102 F and had a fast breathing. On auscultation a pleural friction rub was heard.
Chest X ray shows few infiltrates but was otherwise normal:
What is the cause Of her Chest Pain?
..
.
The patient is most likely having pleuritc chest pain that is caused by inflammation of the pleura secondary to viral or bacterial lung infection.
Case Discussion:
PLEURISY / PLEURITIC CHEST PAIN
Chest X ray shows few infiltrates but was otherwise normal:
..
.
The patient is most likely having pleuritc chest pain that is caused by inflammation of the pleura secondary to viral or bacterial lung infection.
Case Discussion:
PLEURISY / PLEURITIC CHEST PAIN
Pleurisy is defined as an inflammation of the pleura (the
lining that surrounds the lungs). This condition can cause sharp pain when
breathing and is known as pleuritic chest pain.
Causes:
- · Viral infections (coxsackievirus, RSV, CMV, adenovirus, EBV, parainfluenza, influenza) is the most common cause of pleurisy.
- · Bacterial lung infection due to pneumonia or Tuberculosis.
- · Chest injuries
- · Autoimmune diseases like SLE, RA,
- · Malignancy
- · Pulmonary embolism
- · Drug reactions
- · Liver diseases.
Clinical Features: Depending upon the underlying cause of
pleurisy patients may present with a variety of clinical signs and symptoms.
These include:
Tuesday, July 14, 2015
A 35 Year Old Woman Has A High BP on Numerous Occasions
An apparently normal and healthy 35 year old woman is referred to a general physician by a local health nurse because she has noticed the patient having a high BP around 180/100 mmHg numerous occasions. The patient visited her nurse to get the prescription refill of her oral contraceptives.
On history taking patient gives no history of any medical problems and that she seems fine. She smokes about 10 cigarettes a day and does not drink. She has a strong family history of high blood pressure with her mother and elder sister on medications and her father died a few years ago due to stroke. On examination the patient is overweight with a BMI of 28.
Vitals: BP = 175/95 mmHg , H/R = 78/min, R/R = 14/min , Temp = 98.6 F
The patient brings with her a chest x ray which was done a few weeks ago when she had some cough. the x ray is shown below:
The chest x ray is normal and apparently her cough was not due to lower respiratory infection. Also a normal heart size indicates her hypertension is not chronic or long standing.
How will you approach this patient?
Hypertension is a common medical problem. The initial approach in managing this patient should be
On history taking patient gives no history of any medical problems and that she seems fine. She smokes about 10 cigarettes a day and does not drink. She has a strong family history of high blood pressure with her mother and elder sister on medications and her father died a few years ago due to stroke. On examination the patient is overweight with a BMI of 28.
Vitals: BP = 175/95 mmHg , H/R = 78/min, R/R = 14/min , Temp = 98.6 F
The patient brings with her a chest x ray which was done a few weeks ago when she had some cough. the x ray is shown below:
The chest x ray is normal and apparently her cough was not due to lower respiratory infection. Also a normal heart size indicates her hypertension is not chronic or long standing.
How will you approach this patient?
Hypertension is a common medical problem. The initial approach in managing this patient should be
Monday, July 13, 2015
A 79 Year Old Female Presents With Worsening Confusion Over The Last 2 Days.
A 79-year-old female nursing home resident with moderate dementia presents for worsening confusion over the last 2 days. She just finished antibiotics for a urinary tract infection. Her temperature is 38.1◦C, pulse 110, respiratory rate 18, and blood pressure 118/60 mm Hg. She is disoriented and lethargic.
Examination of the heart, lungs, and abdomen is unremarkable.
Laboratory studies are as follows:
Na 165 mEq/L,
K 4.6 mEq/L,
Cl 118 mEq/L,
HCO3 28 mEq/L,
BUN 31 mg/dL,
Cr 1.1 mg/dL.
Urine specific gravity is >1.030 and urine osmolality is 700 mmol/kg(elevated reflecting reabsorption of free water)
Her CBC is normal.
1. What will be the initial treatment for this patient?
Examination of the heart, lungs, and abdomen is unremarkable.
Laboratory studies are as follows:
Na 165 mEq/L,
K 4.6 mEq/L,
Cl 118 mEq/L,
HCO3 28 mEq/L,
BUN 31 mg/dL,
Cr 1.1 mg/dL.
Urine specific gravity is >1.030 and urine osmolality is 700 mmol/kg(elevated reflecting reabsorption of free water)
Her CBC is normal.
1. What will be the initial treatment for this patient?
A 15-Year Old Female With Right Upper Quadrant Abdominal Pain.
A 15-year-old Nigerian female was admitted with right upper quadrant abdominal pain. She had a history of sickle cell anemia, and had several admissions with hand and foot crises. During the last two admissions she complained of abdominal pain. She was born in England. She was the only child of a middle-class family.
On examination, she was distressed with pain. The temperature was 37.6°C (99.7°F). She was mildly jaundiced. The pulse was 105 beats/min, and blood pressure 100/75 mmHg. On examination of the respiratory system there was dullness to percussion on the anterior aspect of the right lung. Abdominal examination revealed tenderness in the right upper quadrant. The liver was palpable 3 cm below the costal margin.
Investigations are shown.
Practice Questions with Answers:
1. What is the cause of the abdominal pain?
On examination, she was distressed with pain. The temperature was 37.6°C (99.7°F). She was mildly jaundiced. The pulse was 105 beats/min, and blood pressure 100/75 mmHg. On examination of the respiratory system there was dullness to percussion on the anterior aspect of the right lung. Abdominal examination revealed tenderness in the right upper quadrant. The liver was palpable 3 cm below the costal margin.
Investigations are shown.
- Hb 6 g/dl
- WCC 12 109/l
- Platelets 200 109/l
- U&E Normal
- AST 50 iu/l
- Alkaline phosphatase 150 iu/l
- Albumin 34 g/l
- Urine osmolality 120 mOsm/kg
- Urinalysis Urobilinogen +++, Blood 0, Protein 0 ,Bilirubin 0
- Chest X-ray Opacification in the right upper zone
Practice Questions with Answers:
1. What is the cause of the abdominal pain?
A Baby Girl In The Nursery Has Hypertelorism
3rd year medical students during their posting in the new born nursery examined a 2 week old baby girl with following facies:
This baby has hypertelorism which is defined by a condition in which there is an increased interpupillary distance between the two eyes. It may have certain underlying causes to look for:
Differential Diagnosis Of Hypertelorism :
This baby has hypertelorism which is defined by a condition in which there is an increased interpupillary distance between the two eyes. It may have certain underlying causes to look for:
Differential Diagnosis Of Hypertelorism :
Saturday, July 11, 2015
A New Born Is Observed To Have Low Set Ears
A new born male baby is examined in the nursery and is observed to have low set ears:
What are the possible underlying causes?
Imaginary line drawn between inner and outer canthi of the eyes should bisect the ears into upper one-third and lower two third portions. Normally 1/3rd of the ear comes above this line. When less than 20% comes above this line, it is low set ear.
Differential diagnosis include:
What are the possible underlying causes?
Imaginary line drawn between inner and outer canthi of the eyes should bisect the ears into upper one-third and lower two third portions. Normally 1/3rd of the ear comes above this line. When less than 20% comes above this line, it is low set ear.
Differential diagnosis include:
Bossing Of Skull In Children
Medical students during their posting in pediatrics ward are shown a patient with increased head circumference and a condition known as bossing of the skull is described in which the skull bones become prominent.
Picture of one such patient is shown below:
What is the differential diagnosis of Bossing of skull in children?
Picture of one such patient is shown below:
What is the differential diagnosis of Bossing of skull in children?
Thursday, July 9, 2015
A 2 Month Old Baby With Irritability And Projectile Vomiting
A 2 month old baby boy is brought to the pediatrician because her mother has noticed that her baby has become excessively irritable, has a high pitched cry and refuses to feed for the last 2 days. when the mother attempted to spoon feed the child with expressed breast milk, the baby vomited it in a projectile manner.
On examination the baby had a temperature of 103 F, and was very irritable. The anterior fontanelle was bulging. The resp rate was 65/min and H/R was 102/min.
What are the causes of a bulging anterior fotanelle?
The fontanel should be examined in a quiet child held in an upright position. The fontanel is normally
flat and pulsatile. Bulging fontanel in infancy is a sign of raised intracranial tension.
Causes include:
On examination the baby had a temperature of 103 F, and was very irritable. The anterior fontanelle was bulging. The resp rate was 65/min and H/R was 102/min.
What are the causes of a bulging anterior fotanelle?
The fontanel should be examined in a quiet child held in an upright position. The fontanel is normally
flat and pulsatile. Bulging fontanel in infancy is a sign of raised intracranial tension.
Causes include:
Wednesday, July 8, 2015
A 62 Year Old Man Complains Of Worsening fatigue And Pain In His Back, Shoulders And Neck
A 62 year old man who has been a known case of hypertension for several years while on a followup with his general physician complains of worsening fatigue and aching in his back, shoulders and neck. He has been taking acetaminophen for about last 3 months with no improvement. On further asking the patient says he experiences neck and shoulder stiffness every morning for about 30 minutes. He occasionally has difficulty getting out of bed.
On examination Vital signs were normal. There is no evidence of synovitis of hands wrists and elbows. Active range of motion in the hands, neck and shoulder are slow but full, There was no tenderness on palpation of the neck, shoulder and back and there was no apparent muscle atrophy. The areas where the patient felt the pain is shown below:
Study Questions with Answers related to the above presented Case scenario:
On examination Vital signs were normal. There is no evidence of synovitis of hands wrists and elbows. Active range of motion in the hands, neck and shoulder are slow but full, There was no tenderness on palpation of the neck, shoulder and back and there was no apparent muscle atrophy. The areas where the patient felt the pain is shown below:
A 3 Year Old Boy With Fever And Rash
A concerned mother brings in her 3 year old child with a history of fever for 1 week. She said initially she thought the fever would resolve but the child is getting sicker and she is now worried. The patient along with fever has developed a diffuse body rash, has decreased appetite and is lethargic. On examination , the child looked sick, has a temperature of 103 F and a diffuse, erythematous macular rash with peeling of skin on the finger tips. The tongue was bright red in color and cervical lymph nodes were enlarged and tender.
A few Picture taken in the clinic are shown below:
Skin Peeling at Finger tips.
What is the Differential Diagnosis?
A few Picture taken in the clinic are shown below:
Bright red tongue with white papillae.
Skin Peeling at Finger tips.
What is the Differential Diagnosis?
- Rheumatic fever
- Kawasaki disease
- Scarlet fever
- Cervical lymphadenitis.
- Parvovirus B19 infection.
- Drug hypersensitivity reaction.
The Final Diagnosis in the above case was Kawasaki Syndrome.
Kawasaki syndrome is an acute vasculitis of unknown etiology
Monday, June 29, 2015
A Patient With End- Stage Renal Disease Is Evaluated For Shortness Of Breath
A patient with end-stage renal disease complains his doctor about shortness of breath on slight exertion and even sometimes at rest. After dialysis , he is found to have a hematocrit of 28 (normal 37-42) and a MCV of 68 (normal 80 -100). His peripheral blood smear is shown below:
Hypochromic, microcytic cells.
Iron studies are performed which shows normal Iron, normal Total iron binding capacity and normal Ferritin. What is the most likely Diagnosis?
.
.
Anemia Of Chronic Disease.
Case Discussion:
Anemia of chronic disease is an anemia that is found in patients suffering from certain long term medical conditions like Rheumatoid arthritis, end stage renal disease, chronic, infectious or inflammatory connective tissue disease.
Clinical features: Early during the disease anemia may be mild with almost no symptoms. Later on patients may complain of shortness of breath, fatigue. headache and pallor.
Diagnosis: Along with a history of a chronic medical condition, anemia of chronic disease can be distinguished from iron deficiency anemia by performing iron studies.
Hypochromic, microcytic cells.
Iron studies are performed which shows normal Iron, normal Total iron binding capacity and normal Ferritin. What is the most likely Diagnosis?
.
.
Anemia Of Chronic Disease.
Case Discussion:
Anemia of chronic disease is an anemia that is found in patients suffering from certain long term medical conditions like Rheumatoid arthritis, end stage renal disease, chronic, infectious or inflammatory connective tissue disease.
Clinical features: Early during the disease anemia may be mild with almost no symptoms. Later on patients may complain of shortness of breath, fatigue. headache and pallor.
Diagnosis: Along with a history of a chronic medical condition, anemia of chronic disease can be distinguished from iron deficiency anemia by performing iron studies.
Monday, May 25, 2015
A 40 Year Old Known Diabetic Patient Presents With Double Vision
A 50 year old man who is a known case of diabetes presents to the clinic with symptoms of double vision that started a few days ago and has not improved. His wife observed that his right eye is directed outwards and does not seem normal.
On neurological examination the patient was diagnosed to have an oculomotor nerve palsy most probably secondary to diabetic neuropathy. Rest of the examination was normal.
The picture is shown below:
The right eye is directed downwards and outwards. pupil is slightly dilated compared to the normal left side. In this case there is no ptosis (which is possible in 3rd cranial nerve palsy)
Case Discussion:
Oculomotor (3rd Cranial Nerve) Palsy:
On neurological examination the patient was diagnosed to have an oculomotor nerve palsy most probably secondary to diabetic neuropathy. Rest of the examination was normal.
The picture is shown below:
The right eye is directed downwards and outwards. pupil is slightly dilated compared to the normal left side. In this case there is no ptosis (which is possible in 3rd cranial nerve palsy)
Case Discussion:
Oculomotor (3rd Cranial Nerve) Palsy:
Oculomotor nerve palsy is an eye condition resulting from damage to the third cranial nerve or any of its branch.
Thursday, May 21, 2015
A 25 Year Old Man Presents With 3 Day History Of Chest Pain And Increasing Breathlessness.
A 25-year-old male presented to the Accident and Emergency Department with a three-day history of
pleuritic, lright-sided chest pain and increasing breathlessness. The symptoms started suddenly while he was playing football. He denied any chest trauma. Until then he had been fit and well, and there was no past medical history of note. His father died suddenly at the age of 32 years.
On examination he was thin and tall and distressed with pain. There was no pallor or cyanosis. He had a wide arm span. The heart rate was 100 beats/min and blood pressure 150/80 mmHg. The respiratory rate was 32/min. The trachea was deviated to the left. Percussion appeared to be reduced on the left side and was loud on the right side. The right lung base was dull to percussion. On auscultation of the lung fields breath sounds were absent on the right side and normal on the left side. Auscultation of the precordium demonstrated
quiet heart sounds and a soft mid-systolic murmur. The femoral pulses were easily palpable. The left calf was bruised and slightly tender. He attributed this to an injury sustained during the football match. The ECG revealed normal sinus rhythm.
1. Which test would you perform to reach a diagnosis?
Answer: Chest X ray.
The chest X ray is shown below:
The X ray Shows a large pneumothorax on the right side with a collapsed lung (arrows).
pleuritic, lright-sided chest pain and increasing breathlessness. The symptoms started suddenly while he was playing football. He denied any chest trauma. Until then he had been fit and well, and there was no past medical history of note. His father died suddenly at the age of 32 years.
On examination he was thin and tall and distressed with pain. There was no pallor or cyanosis. He had a wide arm span. The heart rate was 100 beats/min and blood pressure 150/80 mmHg. The respiratory rate was 32/min. The trachea was deviated to the left. Percussion appeared to be reduced on the left side and was loud on the right side. The right lung base was dull to percussion. On auscultation of the lung fields breath sounds were absent on the right side and normal on the left side. Auscultation of the precordium demonstrated
quiet heart sounds and a soft mid-systolic murmur. The femoral pulses were easily palpable. The left calf was bruised and slightly tender. He attributed this to an injury sustained during the football match. The ECG revealed normal sinus rhythm.
1. Which test would you perform to reach a diagnosis?
Answer: Chest X ray.
The chest X ray is shown below:
The X ray Shows a large pneumothorax on the right side with a collapsed lung (arrows).
A 2 Month Old Baby Is Hospitalized With Hydrocephalus Since Birth
A 2 month old baby who was diagnosed as a case of hydrocephalus on a prenatal ultrasound is hospitalized since birth and is under the care of pediatricians and neurosurgeons. The baby has an enlarged head circumference above 95 percentile and has difficulty feeding and has had 3 episodes of seizures. There is no active infection and there is plan for surgically inserting a shunt system.
The picture of the patient is shown below;
The eyes show the sun-set sign characteristic of hydrocephalus in babies.
Case Discussion:
Hydrocephalus is derived for the Greek words: Hydro means water and cephalus means head. It is a condition that is characterized by excessive accumulation of fluid in the brain. Since in young babies the skull sutures ares till open, the excess fluid leads to rapid enlargement of the head.
Physiology: Cerebrospinal fluid (CSF)is an essential component of the nervous system that circulates through a system of passageways known as ventricles in the brain and exists through a reservoir known as cistern. CSF provides nutrients to the brain and takes away the waste products. If there is a blockage at any of these passages the fluid starts to accumulate leading to hydrocephalus. Sometimes there is no blockage but there is excess production of fluid and inadequate absorption leading to accumulation.
The picture of the patient is shown below;
The eyes show the sun-set sign characteristic of hydrocephalus in babies.
Case Discussion:
Hydrocephalus is derived for the Greek words: Hydro means water and cephalus means head. It is a condition that is characterized by excessive accumulation of fluid in the brain. Since in young babies the skull sutures ares till open, the excess fluid leads to rapid enlargement of the head.
Physiology: Cerebrospinal fluid (CSF)is an essential component of the nervous system that circulates through a system of passageways known as ventricles in the brain and exists through a reservoir known as cistern. CSF provides nutrients to the brain and takes away the waste products. If there is a blockage at any of these passages the fluid starts to accumulate leading to hydrocephalus. Sometimes there is no blockage but there is excess production of fluid and inadequate absorption leading to accumulation.
Tuesday, May 19, 2015
Hair Loss Solutions
1. #1 Hair Growth Shampoo - Hair Regeneration System - For Hair Loss, Scalp Treatment and Dandruff Relief in Men and Women.
2. Hair Growth Essentials: #1 Rated Hair Loss Supplement for Women and Men
About the Product
- Breakthrough Hair Regeneration System.
- Advanced Therapy for thin hair, receding hair line and hair loss.
- Contains a proprietary complex of vitamins and uniquely effective extracts designed for optimal results.
- Dual stage, Shampoo and Conditioner containing highly concentrated extracts.
- Made with pride in the USA.
2. Hair Growth Essentials: #1 Rated Hair Loss Supplement for Women and Men
About the Product
- ✔ GET RESULTS OR YOUR MONEY BACK GUARANTEE: If you can't honestly state that this product isn't the most effective hair loss treatment you've ever used, then we don't deserve to keep your money. You have every right to ask for a full, no- questions-asked, on-the-spot 100% refund anytime you decide.
- ✔ 29 POWERFUL HAIR GROWTH STIMULATING INGREDIENTS: This safe and natural remedy contains 29 powerful ingredients that work in a synergistic way to help grow healthy new hair without any negative side effects.
- ✔ HIGHLY EFFECTIVE & RAPID RESULTS: Each ingredient and their amounts were specifically chosen for their known impact on hair growth and regrowth for males and females. Thanks to the heavy concentration of quality vitamins and nutrients, users can also expect to experience healthier looking skin and stronger nails.
- ✔ ALL NATURAL & SAFE HAIR GROWTH FORMULA: Made in the USA, every batch produced is governed by strict GMP guidelines for safety and quality assurance. Hair Growth Essentials is completely free of fillers, binders, or artificial ingredients with NO unwanted side effects. This is as clean and pure as it gets.
- ★ TRY IT RISK FREE FOR 90 DAYS AND EXPERIENCE IT FOR YOURSELF! Nothing to lose, only hair growth, healthier skin, and stronger nails to gain - Place Your Order Now!
A 32 Year Old Man Presents With Hair Loss
A 32 year old man who is otherwise healthy presents with patchy hair loss from the scalp that he observed a few months ago. He denies any recent change in his shampoo or use of any chemicals. He denies any recent illness or use of drugs. He is concerned about the hair loss and the patches of hair loss are progressively increasing to involve more areas of his scalp.
The picture of the patient is shown below:
What is the Diagnosis?
?
.
Alopecia Areata.
Case Discussion:
Alopecia means hair loss and Alopecia areata is a medical condition in which hair loss occurs in some or all areas of the body in patches. It is an autoimmune disorder and it is most commoly seen on the scalp but may involve the whole body.
Patients are otherwise healthy, the condition is not contagious and there is no nerve involvement.
Since it causes bald spots on the scalp usually in the early stages it is also sometimes called as spot baldness.
Types: It has different types depending on the type and extent of hair loss.
The picture of the patient is shown below:
What is the Diagnosis?
?
.
Alopecia Areata.
Case Discussion:
Alopecia means hair loss and Alopecia areata is a medical condition in which hair loss occurs in some or all areas of the body in patches. It is an autoimmune disorder and it is most commoly seen on the scalp but may involve the whole body.
Patients are otherwise healthy, the condition is not contagious and there is no nerve involvement.
Since it causes bald spots on the scalp usually in the early stages it is also sometimes called as spot baldness.
Types: It has different types depending on the type and extent of hair loss.
Sunday, May 17, 2015
A 43 Year Old Lady Presents With Dysphagia And Feelings Of Skin Tightening.
A 43 year old woman is seen by a General physician where she complains of difficulty swallowing and associated chest pain that started a few years ago and has gradually progressed. It mostly occurs with solid foods and drinking a lot of liquid and taking very small bites helps in swallowing. She denies any regurgitation of food or any history of weight loss. The patient reports that she often feels her skin of the fingers and face getting tight as well episodes of bluish discoloration of finger tips on exposure to cold.
During the Physical Examination the picture of her hands was taken that is shown below:
What is the most probable Diagnosis?
.
.
CREST Syndrome.
Case Discussion:
CREST syndrome is also known as Limited scleroderma which is an autoimmune disorder and it is characterized by:
During the Physical Examination the picture of her hands was taken that is shown below:
What is the most probable Diagnosis?
.
.
CREST Syndrome.
Case Discussion:
CREST syndrome is also known as Limited scleroderma which is an autoimmune disorder and it is characterized by:
Saturday, May 16, 2015
USMLE Step 3 QBook (USMLE Prep)
Comprehensive, focused practice from Kaplan, the test prep experts, that will help you score higher on USMLE® Step 3!
The USMLE® is one of the most important exams a medical student will ever take. Kaplan Medical, the health sciences division of Kaplan Test Prep and Admissions, knows exactly what you need to pass Step 3 and will guide you to success on this challenging exam. The fully updated and revised Kaplan Medical's USMLE® Step 3 Qbook contains Kaplan-exclusive strategies, new practice questions, and thorough review so you are fully prepared on test day. This high-yield Qbook features:
850 exam-like questions
Detailed answer explanations so you know which questions you answered correctly and where you need extra practice
Access to a sample online Question Bank
Updated test-taking and strategies guide
Expert strategies for the computer-based test
Coverage of the specific topics tested on the exam: Internal Medicine; Neurology; Obstetrics/Gynecology; Pediatrics; Psychiatry; and Surgery
Fully updated for the Sixth Edition, Kaplan Medical's USMLE® Step 3 Qbook is your guide to achieving a higher score on test day!
The USMLE® is one of the most important exams a medical student will ever take. Kaplan Medical, the health sciences division of Kaplan Test Prep and Admissions, knows exactly what you need to pass Step 3 and will guide you to success on this challenging exam. The fully updated and revised Kaplan Medical's USMLE® Step 3 Qbook contains Kaplan-exclusive strategies, new practice questions, and thorough review so you are fully prepared on test day. This high-yield Qbook features:
850 exam-like questions
Detailed answer explanations so you know which questions you answered correctly and where you need extra practice
Access to a sample online Question Bank
Updated test-taking and strategies guide
Expert strategies for the computer-based test
Coverage of the specific topics tested on the exam: Internal Medicine; Neurology; Obstetrics/Gynecology; Pediatrics; Psychiatry; and Surgery
Fully updated for the Sixth Edition, Kaplan Medical's USMLE® Step 3 Qbook is your guide to achieving a higher score on test day!
A 25 Year Old Female With A History Of Depression Presents With An Overdose
A 25 year old female who was diagnosed with depression attempted suicide by taking an over doses of her prescription medicines clonazepam and nortriptyline. When seen in the emergency department, patient is unresponsive and is having difficulty in breathing. After the initial steps of incubating the patient and protection her airway an ECG was performed and the following was obtained:
The ECG shown above is showing torse de pointes.
Torsade de Pointes (TdP) is a form of polymorphic ventricular tachycardia associated with a long QT interval on the resting ECG. Torsade de Pointes is typically initiated by a short-long-short interval. A ventricle extrasystole (first beat: short) is followed by a compensatory pause. The following beat (second beat: long) has a longer QT interval. If the next beat follows shortly thereafter, there is a good chance that this third beat falls within the QT interval, resulting in the R on T phenomenon and subsequent Torsades de Pointes. During Torsades de Pointes the ventricles depolarize in a circular fashion resulting in QRS complexes with a continuously turning heart axis around the baseline (hence the name Torsade de Pointes).
Question:
The ECG shown above is showing torse de pointes.
Torsade de Pointes (TdP) is a form of polymorphic ventricular tachycardia associated with a long QT interval on the resting ECG. Torsade de Pointes is typically initiated by a short-long-short interval. A ventricle extrasystole (first beat: short) is followed by a compensatory pause. The following beat (second beat: long) has a longer QT interval. If the next beat follows shortly thereafter, there is a good chance that this third beat falls within the QT interval, resulting in the R on T phenomenon and subsequent Torsades de Pointes. During Torsades de Pointes the ventricles depolarize in a circular fashion resulting in QRS complexes with a continuously turning heart axis around the baseline (hence the name Torsade de Pointes).
Question:
Subscribe to:
Comments (Atom)






































