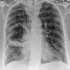
Patient has brought the following X ray with him that was done a day before:
Chest x-ray demonstrates a large intrapulmonary cavity with an irregular air/fluid level interiorly. The wall of the cavity is ill-defined, ranging from very thin and smooth laterally to somewhat nodular superomedially.
The Patient is diagnosed as a case of Lung Abscess
Case Discussion:
Lung Abscess:
Lung abscess is defined as a cavitating area of localized , suppurative infection within the lung.
Causes: A lung abscess may occur due to :
- Inadequately treated pneumonia.
- Aspiration ( secondary to alcoholism, esophageal obstruction, bulbar palsy etc).
- Bronchial obstruction (secondary to tumor or foreign body)
- Pulmonary infarction
- Septic emboli (septecimia, right heart endocarditis, IV drug use)
- spread from a subphrenic or hepatic abscess
Clinical Signs and Symptoms: Patients may present with:
- Swinging fever.
- Productive cough
- Purulent and a foul smelling sputum
- Pleuritic chest pain
- Malaise
- Weight loss
- hemoptysis.
- Night sweats.
On examination the signs are non specific and resemble those of pneumonia and may include:
- Decreased breath sounds.
- High grade fever
- Crackles over the affected area
- dullness to percussion in the presence of effusion
Diagnosis:
Blood workup may show anemia and neutrophillia.
Blood and sputum cultures should be sent before starting the antibiotics.
Chest X ray will often show a cavity with a fluid level.
Ct scan should be considered to exclude obstruction and to see any underlying tumors.
Bronchoscopy may be done to obtain diagnostic specimens.
Treatment:
1. Antibiotics as indicated by culture and sensitivity.
2. Before the culture results clindamycin is the drug of choice because it has excellent activity against streptococci and anareobic organisms.
3. Antibiotics should be continues for about 4 to 8 weeks.
4. Postural drainage is helpful in draining the infected sputum.
5. In severe cases surgical excision of the infected lobe may be required.

No comments:
Post a Comment